- 手が震える
- 白目が目立つようになった
- 目が前に出てきた
- 首回りが太くなったといわれた
- 健診で甲状腺が腫れているといわれた
- ちょっとしたことで、イライラするようになった
- 少し動くと、動悸がする
- 暑がりに体質が変わった
- 自然に体重が減ってきた
- 食欲が増進している
- 最近、寝つきが悪い
- 爪が二枚に分かれるようになった
- 便が柔らかくなった
甲状腺ホルモン異常
甲状腺ホルモン異常
甲状腺ホルモンは新陳代謝を促します。甲状腺疾患は女性に多く、甲状腺ホルモン異常の代表的な疾患として、バセドウ病と橋本病が挙げられます。
甲状腺ホルモンは過剰でも、足りなくても体に悪影響がでますが、症状は様々なため、甲状腺の病気だと思わずに生活をされていることも多いです。
甲状腺ホルモン過剰(バセドウ病)の症状は更年期症候群と紛らわしいですし、甲状腺ホルモン低下(橋本病)の症状は不活発となり、うつ病や認知症だと自己判断しているケースもあります。

バセドウ病は甲状腺ホルモン過剰で最も多い持続性の自己免疫疾患で、20~40代の女性に多く発症します。遺伝的背景があり、家族内で甲状腺自己免疫疾患のある方も多いです。また、産後半年以降で発症・再燃しやすいことも知られています。甲状腺ホルモン過剰症状+眼球突出・白目が目立つ場合に疑われます。バセドウ病ではTSH受容体に結合してしまう自己抗体(TSH受容体抗体)が存在し、抗体が甲状腺を刺激し甲状腺ホルモンが上昇します。また、TSH受容体抗体は眼球裏の脂肪組織や眼を動かす筋肉の増殖増大を起こし眼が前にでてきたり、甲状腺ホルモンがまぶたを持ち上げる筋肉を刺激して白目が目立つようになります。
バセドウ病を放置すると、心房細動という脳梗塞を引き起こしやすい不整脈や、骨粗しょう症、心不全・意識障害を起こす甲状腺クリーゼ、流産・妊娠中毒症など胎児・母体への悪影響などのリスクとなりますので、しっかりと治療をする必要があります。治療方法には、内服薬、アイソトープ療法(ヨウ素内用療法)、甲状腺切除術の3つがあります。内服薬では半数以上が寛解(薬が不要になる)するので、まず内服薬から開始し、内服薬の副作用で治療継続が困難な場合や甲状腺がんを合併している場合、再燃を繰り返す場合などで、その他の治療が検討されます。抗甲状腺薬(甲状腺ホルモン合成抑制薬)のうち、効果の安定性、服薬回数の少なさ、副作用の予測のしやすさから、妊娠初期を除くとメルカゾールが選択されることが多いです。
抗甲状腺薬の注意する副作用に無顆粒球症があります。無顆粒球症は300~400人に1人起こるとされ、細菌に対する免疫力低下を起こすので、扁桃炎発症が疑うきっかけになります。扁桃の腫れと発熱を起こした場合には、白血球減少がないか採血をする必要があります。無顆粒球症は服用開始(再開)後3ヶ月以内に多いため、開始後2ヶ月は2週間毎に血液検査をする必要があります。当院では甲状腺ホルモン過剰の症状が強い方には、当日に甲状腺ホルモン、甲状腺関連抗体検査、甲状腺エコーを実施し、バセドウ病の診断がついた方には当日に治療を開始していますので、症状でお困りの方はご相談ください。

アイソトープ療法は再燃を繰り返す場合や、副作用が強く出てしまう場合に選択されることがある治療法です。放射線を出す性質をもったヨウ素(放射性ヨード)のカプセルを飲むことで甲状腺の細胞を破壊します。放射線と聞くと怖いイメージを持たれる方もいらっしゃると思いますが、甲状腺だけをターゲットにするよう設計されていますので、一般的にイメージするような、発がん性などの怖い副作用を引き起こすことはありません。
治療期間が抗甲状腺薬の治療よりも短期間で再燃もしないことがメリットです。ただし、甲状腺眼症を悪化させる可能性があること、一過性にTSH受容体抗体を上昇させることなどの注意する点があります。また、治療効果を確実にするために甲状腺機能低下症の状態を治療の前提とすることが多いので、治療後は甲状腺ホルモン補充療法が必要なことが多いです。小児例、妊娠例(半年以内で検討中の方)、授乳中の方には行うことができません。
甲状腺切除術(手術療法)では、甲状腺の一部を残して、外科的に切除する治療法です。特に甲状腺の腫れがひどい場合や、高用量の抗甲状腺剤が必要な妊娠検討中の女性、抗甲状腺薬の効き目が芳しくない場合、副作用が強く出てしまう場合、甲状腺腫瘍が合併している場合、甲状腺ホルモンのバランスが特殊な場合(T4に比べてT3が不釣り合いに高い)などで検討されます。
アイソトープ療法と同様、将来的に甲状腺機能低下症を引き起こしてしまうリスクはありますが、抗甲状腺薬治療よりも短期間での治療が可能であり、再発もしない治療法です。また、外科的な治療のため、喉に小さな傷が残ったり、一部で嗄声や、副甲状腺機能低下症などの合併症を起こす可能性があります。当院では、症状や重症度、生活環境に合わせて最適な治療をご提案いたします。気になる症状のある方は、どうぞお気軽にご相談ください。
日常の注意点:バセドウ病をはじめとした甲状腺機能亢進症では、新陳代謝が病的に亢進するため、心臓に大きな負担がかかります。頻脈・不整脈といった病気も起こりやすくなっていますので、症状が落ち着くまではなるべく無理をせず安静にしていただくことをお願いします。睡眠不足やストレス、過労といった体への負担は症状を悪化させる原因になりますので、なるべく避けましょう。
食事では昆布類を多くとると内服薬の効果が弱まることが知られていますので、ヨウ素の過剰摂取には注意が必要です。
喫煙はバセドウ病を悪化させたり、眼の症状を悪化させることが知られているので、禁煙が重要です。
運動は甲状腺機能が回復してくるまでは控えるようにしましょう。病状が安定すれば、健康な人と全く変わらず運動ができるようになります。
抗甲状腺薬を内服されている方は、途中で無計画に中止・再開を繰り返す方に、甲状腺クリーゼという命に関わる病態が多いという報告がありますので、必ず医師の指示に従って服用するようにしてください。
無痛性甲状腺炎は、甲状腺ホルモン過剰のうちバセドウ病の次に多い疾患です。橋本病を基礎としていることが多く、ヨウ素過剰摂取や出産(産後2~4ヶ月、多くは産後半年以内)などが有名な誘因ですが、はっきり原因が分からないことも多いです。本症はバセドウ病と違い一時的ですので、バセドウ病の治療薬は不要なだけでなく有害となる可能性がありますので、バセドウ病との鑑別が重要となります。
本症はバセドウ病と比べると、FT3/FT4比やFT4値が低かったり、TSH受容体抗体が陰性または低値のことが多く、甲状腺エコーで上甲状腺動脈の最高流速度も低い、などの特徴があります。本症と診断された場合は、一般的にはバセドウ病のくすりは服用せずに経過観察をします。甲状腺ホルモンが過剰の時期から低下症の時期を経ますが、多くは2ヶ月程度で正常に戻ります。低下症になってすぐには、低下症が継続するかの判断は難しく(抗甲状腺関連抗体陽性例では低下症継続の率が上がることは参考になります)、この時期で開始した補充療法は途中で中止できる可能性があります。
当院では、甲状腺ホルモン低下が継続するか判断が難しい、発症から半年間で、甲状腺機能低下症症状が強い症例には、甲状腺機能が改善したら採血検査で確認ができるように、T4製剤ではなく、T3製剤で治療を開始しますので、甲状腺機能が回復した場合は適切に補充療法の減薬、中止を行えるようにしています。ただ、なかには甲状腺機能低下症が6ヶ月以上継続し、永続性の低下症に移行する例があり、その場合はT4製剤(チラーヂンS)に変更して補充療法を継続する必要があります。また、稀ですが甲状腺機能亢進症に移行する症例もあります。



亜急性甲状腺炎は、発熱と甲状腺の痛みを伴う、甲状腺ホルモン過剰(中毒)症です。多くは感冒から1~2週間後に発症しますが、誘因が不明瞭なことも多くあります。本症も一過性であることが多いですが、甲状腺組織の炎症は徐々に移動しながら(クリーピング現象)甲状腺全体に広がることが多く、甲状腺機能が落ち着くまでに3ヶ月程度を要します。無痛性甲状腺炎同様に、甲状腺機能が正常になるかの確認が必要で、機能低下症や亢進症に移行することもあります。典型例では甲状腺の炎症部位に一致する痛み(同側の顎や耳まで広がる痛みになることもある)、発熱があり、採血検査では甲状腺ホルモン上昇、TSH低下、CRP優位の炎症反応、甲状腺破壊を示唆する血清サイログロブリン上昇、甲状腺エコーでは痛みに一致した境界不明瞭な低エコー領域(地図状低エコー)がみられ、典型例では診断は容易ですが、来院される時期などによっては発熱・痛みを伴わなかったり、甲状腺ホルモンも軽度異常に留まっていることがあります。
治療は経口ステロイドや非ステロイド性鎮痛剤などを症状により選択します。疼痛、炎症は日中に増強することが多いので、活発な活動はしないなど生活の注意点があります。
プランマー病
中毒性多結節性甲状腺腫
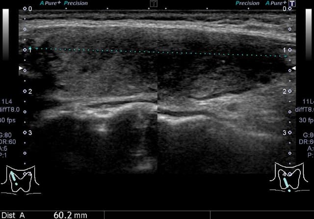
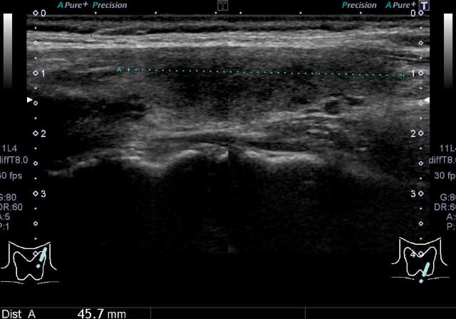
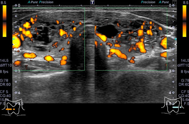
機能性結節は孤発性(プランマー病)、多結節性に分かれます。どちらも持続性の甲状腺ホルモン過剰(甲状腺ホルモン亢進症)の原因となります。甲状腺機能ホルモンの上昇は軽度のことが多く、潜在性甲状腺機能亢進症の原因としても知られています。TSH受容体抗体が陰性で、甲状腺エコーにて(のう胞を伴うことが多い)血流豊富で大きな腫瘤を認めた場合に本症を疑います。この場合は、核医学検査(甲状腺シンチグラフィー;放射性ヨウ素やテクネシウム)で結節に一致した取り込みと結節外での取り込み抑制を確認して診断となります。機能性腫瘍は基本的に良性ですが、本症が疑われた場合は、核医学検査が行える医療機関へご紹介いたします。孤発性の場合は一般的に外科治療が選択されます。


バセドウ病と同じ甲状腺関連自己免疫疾患です。やはり女性に多く、バセドウ病より有病率はかなり高く成人女性の10人に1人という報告もあります。診断には甲状腺腫大の有無や、橋本病に関連する自己抗体(抗サイログロブリン抗体、抗ペルオキシダーゼ抗体)などが用いられます。橋本病の多くは甲状腺機能正常で、治療を要する甲状腺機能低下症になるのは全体の2割程度といわれています。日常生活では、ヨウ素過剰摂取(昆布類、ひじき、イソジンなどのうがい薬に多く含まれる)で無痛性甲状腺炎となったり、甲状腺機能低下症となりやすいので、昆布・昆布だしを毎日摂ったり、ポビドンヨードうがい液を頻繁に使用することは避ける必要があります。軽度の甲状腺ホルモン低下症では、ヨウ素制限をすることで改善がみられることもよくあります。
治療は甲状腺ホルモン補充療法になります。不妊症、妊娠に際しての甲状腺ホルモン値はその他の時期とは別に設定されています(甲状腺ホルモンと不妊を参照)。血液検査により甲状腺ホルモン(FT3、FT4)や甲状腺刺激ホルモン(TSH)で甲状腺機能を確認します。また自己抗体の抗サイログロブリン抗体(TgAb)や抗甲状腺ペルオキシダーゼ抗体(TPOAb)の有無を調べます。
甲状腺超音波(エコー)検査では、甲状腺は基本的には全体的に大きくなり、内部は粗くみえることが多いです。臨床診断は、甲状腺の全体的な腫大に加えて、TgAbまたはTPOAb陽性で行います。甲状腺機能が正常であれば治療の必要はありません。機能が低下している場合には飲み薬(チラーヂンS®、レボチロキシン®)によって甲状腺ホルモンの補充を行います。服用は一日一回です。(吸収の安定性からは空腹時の服用がよく、また金属系製剤と同時服用は避ける必要があります)
一般的にはTSHが10以上で心不全のリスクが上昇するため治療を開始しますが、軽度の上昇の時には、症状、年齢(TSHは年齢とともに上昇することが分かっているため、治療の開始はより慎重に検討します)を考慮して開始時期を判断します。甲状腺機能が正常~軽度の潜在性甲状腺機能低下症の場合は、半年~1年の間隔で甲状腺機能を経過観察します。
何らかの原因で甲状腺が破壊されたあとに起こる甲状腺機能低下症です。破壊性による一時的な甲状腺ホルモン過剰時期を経て、甲状腺ホルモン正常時期から低下症の時期を経て、多くは2~3ヶ月程度で正常に戻ります。
このため、破壊性甲状腺炎後の低下症の多くは、甲状腺ホルモン補充療法を必要としません。また、低下症になってすぐの時期では、低下症がその後も継続するかの判断は難しく(抗甲状腺関連抗体陽性例では低下症継続の率が上がることは参考になります)、この時期で開始した補充療法は途中で中止できる可能性があります。
当院では、甲状腺ホルモン低下が継続するかの判断が難しい(発症から半年間以内)時期で、甲状腺機能低下症症状が強く、補充療法が必要な場合には、T3製剤で治療を開始します。これにより、甲状腺機能が改善したら採血検査で確認ができるようになるので、甲状腺機能が回復した場合は適切に補充療法の漸減、中止が行えます。
ただ、なかには甲状腺機能低下症が半年以上継続し、永続性の低下症に移行する例があり、その場合はT4製剤(チラーヂンS)に変更して補充療法を継続する必要があります。また、稀ですが甲状腺機能亢進症に移行する症例もあります。
バセドウ病や甲状腺がんに対する手術、アイソトープ内用療法後に甲状腺機能低下症がみられることがあります。甲状腺ホルモンとTSHは基準値を目標に加療します。甲状腺全摘出術後では、代謝を正常に保つためにはTSHを基準値よりも低くする必要があるとされています。
TOP