甲状腺のしこり・腫れの主な原因
結節性甲状腺腫
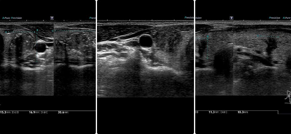
①甲状腺嚢胞(のうほう)
液体が溜まった袋状の構造。触ってみると柔らかく、良性であることがほとんどです。
甲状腺の嚢胞は、液性成分が単純な袋状になったものであることは少なく、結節性病変の変性・壊死や出血などの変化によって液体成分に置換されて起こることが多く、そのため嚢胞壁付近に結節を伴うことが多くあります。結節の性状によっては、後ほど説明する甲状腺乳頭がん(嚢胞形成型)が鑑別となるため、嚢胞でも注意を要する症例があります。
エコー所見では、内部は低エコーで血流は認めません。腫瘤性病変がないか確認していきます。
結節を伴わない場合でも、嚢胞が20mmより大きく症状を伴う場合には注射器で液体を抜くことがあります(液体成分の性状は様々で、粘り気が高い場合は内容成分の吸引ができないこともあります)。
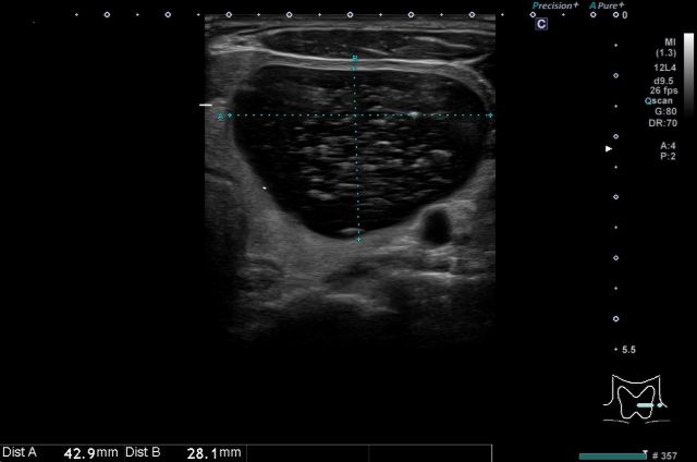
②腺腫様甲状腺腫・結節性甲状腺腺腫
甲状腺にできる良性の結節で、機能性(甲状腺ホルモンを出す:プランマー病、中毒性多結節性甲状腺腫)と非機能性に分かれます。
しこりが複数の場合「腺腫様甲状腺腫」、しこりが1つ(またはごく少数)だけの場合「腺腫様結節」と呼ばれます。
組織学的には、腫瘍様病変(過形成)に分類されます。
エコー所見では、大きいものでは内部にのう胞性変化を伴っていることが多くあり、この場合は良性であることが多いですが、結節の被膜が不明瞭な部分があったり、結節内部には石灰化を伴うことも多いため、甲状腺乳頭がんとの鑑別が必要なことも多くあります。
特別な治療は不要ですが、下記の場合は手術が考慮されます。
- 甲状腺ホルモンを産生する場合
- 甲状腺がんを合併している場合
- 結節が大きく(4cmを超える)気管を圧排している場合
- 胸腔まで進展している場合(静脈などへ影響を与えてしまう)
上記の場合は、手術可能な医療機関へご紹介いたします。
③濾胞(ろほう)性腫瘍(濾胞腺腫、濾胞がん)
濾胞性腫瘍は、良性の濾胞腺腫と悪性の濾胞がんに分類されますが、甲状腺針細胞診で両者の鑑別は基本的にはできないため、針細胞診で濾胞性腫瘍と判断された場合で、4cm未満で転移がない場合はサイズフォローをし、4cmを超えた場合は濾胞がんの可能性が高くなるため診断的治療目的で手術が検討されます(外科的切除後、腫瘍細胞が被膜を超えている場合や血管内浸潤している場合に、濾胞がんと診断されます)。
エコー所見では、濾胞性腫瘍は単発性で、被膜がはっきりしていること、腫瘍内部は均一なことが多いとされています。濾胞がんでは濾胞腺腫と比べると、被膜が不整であったり、腫瘍の辺縁が硬いことが多いとされています。
当院では、針細胞診で濾胞性腫瘍と診断された場合、将来手術適応となる可能性があるため一度、手術可能な医療機関へご紹介し、その後4cmを超えた時点で再紹介をしております。
④甲状腺乳頭がん
甲状腺悪性腫瘍の約9割を占めます。50歳以降で急速に増大する場合は特に注意が必要です。一方で1cm未満の微小乳頭がん(単発性、明らかな転移がなく、気管と離れている)場合では生命予後に明らかな影響がないとされているので、このような場合は針細胞診はせず経過観察をすることとなります。
エコー所見では、被膜は不明瞭で、形は不正、内部の小さな石灰化(白いポチポチとその下に黒い線を引く)や不均一などが特徴的で、大部分のケースは針細胞診で診断可能です。
診断後は、手術可能な医療機関へご紹介いたします。
⑤副甲状腺腺腫、副甲状腺のう胞
甲状腺のしこりの鑑別として、甲状腺の背側にある副甲状腺の病気が挙げられます。正常の副甲状腺はエコーでは描出できませんが、腫瘍、のう胞などでは甲状腺のしこり、のう胞と鑑別を要します。
血液検査で、副甲状腺ホルモン過剰分泌をしている場合(原発性副甲状腺機能亢進症)には、血清カルシウムが上昇します。
エコー所見では、上面は甲状腺被膜で隔たれていることを反映して白い線がみられます。副甲状腺のう胞では白い線が不明瞭なことがあります。
副甲状腺腫瘍への針細胞診は禁忌とされているので、確定診断のためシンチグラフィーを行う必要があります。また、副甲状腺のう胞が疑われる場合も血中副甲状腺ホルモンが高値ならば、嚢胞を伴う副甲状腺腫瘍を考慮して穿刺吸引はできません。血液検査に問題がなく、エコーでも結節所見がない場合には、嚢胞液を穿刺し嚢胞液中の副甲状腺ホルモンを測定し診断します。
診断後は、骨粗しょう症、尿路結石、血清カルシウム値などを参考として、手術可能な医療機関へご紹介します。
びまん性甲状腺腫
①慢性甲状腺炎(橋本病)
自己免疫の異常で甲状腺が炎症を起こし、腫れる病気。ホルモンが不足しやすくなります。
エコー所見では、甲状腺は基本的には全体的に大きくなり、内部は粗く、黒っぽくみえます。気管の上の甲状腺峡部の肥厚、内部の線状の白い線も特徴的です。
②バセドウ病
甲状腺ホルモンが過剰に出る病気で、腫れに加え、動悸や体重減少などの症状を伴うことがあります。
エコー所見では、甲状腺のびまん性腫大と、甲状腺辺縁がやや黒っぽくなり、甲状腺内部の血流増加と栄養血管の血流量・速度が上昇することが特徴的です。